Composite Restoration

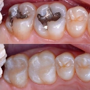
A composite restoration is a type of dental filling. It is a way to repair a tooth that has been damaged by decay or injury. The dentist will remove the decayed or damaged part of the tooth and fill the space with a tooth-colored material called composite resin. This material is a mixture of glass and plastic and it can be shaped and polished to match the color and appearance of the natural tooth. Composite restorations are also known as white fillings or tooth-colored fillings. They can be used for small to medium size cavities and for cosmetic purposes, such as changing the shape or color of a tooth. They are a good alternative to traditional silver fillings, as they are more aesthetically pleasing and can be done in a single appointment.