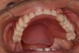
Palatal Obturator

A palatal obturator prosthesis is a type of dental appliance that is used to close a cleft palate. The prosthesis is custom-made to fit the individual's mouth and is worn to help improve speech, and swallowing, and to prevent food from entering the nasal cavity. It is typically made of acrylic and may include a metal framework to help hold it in place. The prosthesis is removable and may need to be adjusted or replaced as the individual grows and their cleft palate is repaired.