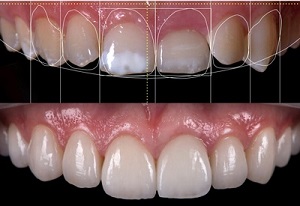
Smile Makeover

A smile makeover is a combination of cosmetic dental procedures that are designed to improve the appearance of a person's teeth and smile. The goal of a smile makeover is to help the person feel more confident about their smile and improve the overall aesthetic of their teeth. A smile makeover can include procedures such as teeth whitening, veneers, crowns, orthodontics (braces), gum reshaping, and implants. The specific procedures will depend on the individual's needs and goals. A smile makeover can be done by a general dentist or by a cosmetic dentist, and it is usually done after a consultation where the dentist will evaluate the patient's teeth and gums, and listen to their concerns and expectations, then together with the patient will plan the best treatment options.

What are the benefits of Smile Design?
  • High fulfillment with their new beautiful smile
  • Accurately customized results
  • A natural look that complements the overall impression
  • Enhanced confidence throughout the treatment process
  • The multidisciplinary program preserves health and hygiene